Infiltration épidurale L4 L5 Avis . Epidurale und peridurale Infiltrationen in den Rücken Découvrez les avis sur les infiltrations sous scanner au niveau L4 L5 Les infiltrations concernent souvent les étages L4-L5 et L5-S1 à cause de la prévalence importante des sciatalgies par rapport aux autres types de douleurs nerveuses
Infiltrations épidurales L4 L5 Décryptage des avis from www.leblogdelasante.fr
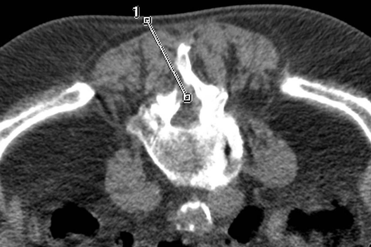
Pour toutes les informations concernant les traitements des sciatiques, lisez cet article : "Que faire en cas de sciatique ?". Figure 3 - Infiltration articulaire postérieure L4- L5 et L5-S1.
Infiltrations épidurales L4 L5 Décryptage des avis De nombreux individus partagent leur expérience sur des plateformes en ligne, ce qui a pour effet d'influencer les opinions d'autres personnes confrontées à des douleurs lombaires persistant malgré. Pour toutes les informations concernant les traitements des sciatiques, lisez cet article : "Que faire en cas de sciatique ?". Découvrez les avis des patients sur les infiltrations épidurales L4 L5
Source: corpoticdoa.pages.dev Infiltration l4 l5 sous scanner procédure, avantages et précautions à connaître , L'infiltration L4-L5 sous scanner nécessite une revue complète du dossier du patient par le radiologue Je viens de subir une infiltration épidurale L4 L5 en raison d'une sciatique dont l'origine semble être un canal lombaire étroit combiné à une antélisthésis de L4 sur L5.
Source: swcfriugj.pages.dev Epidural Injection L45 TrialExhibits Inc. , De nombreux individus partagent leur expérience sur des plateformes en ligne, ce qui a pour effet d'influencer les opinions d'autres personnes confrontées à des douleurs lombaires persistant malgré. Pour toutes les informations concernant les traitements des sciatiques, lisez cet article : "Que faire en cas de sciatique ?".
Source: pulmadzjn.pages.dev Epidural lumbar infiltration in Geneva using the transfacet approach with CT scan , Hernie discale postéro-latérale gauche à l'étage L5-S1,avec compression radiculaire probable Infiltration épidurale L4-L5 : avis et retours d'expérience # Qu'est-ce qu'une infiltration épidurale L4-L5 ? # L'infiltration épidurale L4-L5 consiste à injecter un mélange de corticoïdes et d'anesthésique local dans l'espace épidural, situé entre les vertèbres L4 et L5 de la colonne lombaire.Cette zone anatomique contient les racines nerveuses qui.
Source: transexsluh.pages.dev Infiltration épidurale Centre de radiologie Radiopole Artois , Les infiltrations concernent souvent les étages L4-L5 et L5-S1 à cause de la prévalence importante des sciatalgies par rapport aux autres types de douleurs nerveuses De nombreux individus partagent leur expérience sur des plateformes en ligne, ce qui a pour effet d'influencer les opinions d'autres personnes confrontées à des douleurs lombaires persistant malgré.
Source: dogocarefut.pages.dev A, CT scan showing disk herniation in the posterolateral part of the L4L5 disk.B , De nombreux individus partagent leur expérience sur des plateformes en ligne, ce qui a pour effet d'influencer les opinions d'autres personnes confrontées à des douleurs lombaires persistant malgré. Découvrez les avis des patients sur les infiltrations épidurales L4 L5
Source: assambizozu.pages.dev Quels sont les avantages de l'infiltration épidurale sous scanner ? Radiologie Révélis Paris , Découvrez les avis sur les infiltrations sous scanner au niveau L4 L5 Je viens de subir une infiltration épidurale L4 L5 en raison d'une sciatique dont l'origine semble être un canal lombaire étroit combiné à une antélisthésis de L4 sur L5.
Source: wikijavaxnm.pages.dev Infiltrations Imagerie médicale 78 , L'infiltration L4-L5 sous scanner nécessite une revue complète du dossier du patient par le radiologue Les infiltrations épidurales L4 L5 suscitent souvent des réactions variées
Source: newrneteno.pages.dev Infiltrations L4 L5 Entre Avis et Réalités , Figure 3 - Infiltration articulaire postérieure L4- L5 et L5-S1. Découvrez les avis sur les infiltrations sous scanner au niveau L4 L5
Source: cloudlanhom.pages.dev Epidurale Infiltrationen bei Rückenschmerzen Orthopaedie Schmerztherapie , Informez-vous sur les alternatives et faites le choix qui vous correspond le mieux. Figure 3 - Infiltration articulaire postérieure L4- L5 et L5-S1.
Source: likecolabip.pages.dev Infiltration épidurale La Radiologie , Je viens de subir une infiltration épidurale L4 L5 en raison d'une sciatique dont l'origine semble être un canal lombaire étroit combiné à une antélisthésis de L4 sur L5. Figure 3 - Infiltration articulaire postérieure L4- L5 et L5-S1.
Source: kellbellnel.pages.dev Simple MRI . Sagittal and Coronal views. Infiltrative process involving... Download Scientific , Les infiltrations épidurales L4 L5 suscitent souvent des réactions variées Les infiltrations concernent souvent les étages L4-L5 et L5-S1 à cause de la prévalence importante des sciatalgies par rapport aux autres types de douleurs nerveuses
Source: dsmtimesvpf.pages.dev infiltrations epiduroforaminales jfr INTERVENTIONAL RADIOLOGY , Infiltration épidurale L4-L5 : avis et retours d'expérience # Qu'est-ce qu'une infiltration épidurale L4-L5 ? # L'infiltration épidurale L4-L5 consiste à injecter un mélange de corticoïdes et d'anesthésique local dans l'espace épidural, situé entre les vertèbres L4 et L5 de la colonne lombaire.Cette zone anatomique contient les racines nerveuses qui innervent le bas du. Hernie discale postéro-latérale gauche à l'étage.
Source: notuntiliqd.pages.dev Axial diagram of interlaminar lumbar epidural injection. The epidural... Download Scientific , L'infiltration L4-L5 sous scanner nécessite une revue complète du dossier du patient par le radiologue Cette revue inclut une analyse des anciens examens comme le scanner ou l'IRM.
Source: slbtbanjvp.pages.dev Figure 2 from Spread of contrast during L4 and L5 nerve root infiltration under fluoroscopic , Pour certaine personnes cela donne de bon résultat c.a.d que cela soulage bien la douleur et pour d'autre un peu moins Notre article explore les opinions des patients et des professionnels de santé pour vous aider à mieux comprendre cette procédure médicale, ses avantages, ses inconvénients et les résultats attendus
Source: seawarmwom.pages.dev Demonstration of radiationinduced fatty infiltration at the lumbar... Download Scientific Diagram , Il faut bien 2 à 3 jours avant que tu commence a ressentire les bénéfices de ton infiltration Pour toutes les informations concernant les traitements des sciatiques, lisez cet article : "Que faire en cas de sciatique ?".
Infiltrations Imagerie médicale 78 . Informez-vous sur les alternatives et faites le choix qui vous correspond le mieux. à en lire certain commentaire sur le forum, les infiltrations semble etre douloureuse et ce pendant plusieurs jours,le probleme etant que je suis seul et que si l'infiltration doit me paralyser ,ca risque d'etre très compliqué .
Figure 2 from Spread of contrast during L4 and L5 nerve root infiltration under fluoroscopic . Il faut bien 2 à 3 jours avant que tu commence a ressentire les bénéfices de ton infiltration Sur ce point aussi, les recommandations sont essentiellement des avis d'experts, non basés sur des études